The brain and spinal column make up the central nervous system (CNS), where all vital functions, including thought, speech, and body movements are controlled. When a tumor grows in the CNS, it can affect a person's thought processes or movements.
A brain tumor begins when normal cells in the brain change and grow uncontrollably, forming a mass. A brain tumor can be low grade (generally not cancerous and slower growing) or high grade (more likely to grow and spread quickly). In general, primary brain tumors, meaning those that start in the brain, do not spread outside of the CNS.
This section describes primary brain tumors. Secondary brain tumors (also called brain metastases) are much more common than primary tumors. A secondary brain tumor is a cancerous tumor that started in another part of the body (such as the breast, lung, or colon) and then spread to the brain. Learn more about cancer that started elsewhere in the body and spread to the brain by reading about that specific type of cancer.
Anatomy of the brain
The brain is made up of four main parts: the cerebrum, the cerebellum, the brain stem, and the meninges.
The cerebrum. This is the largest part of the brain. It contains two cerebral hemispheres on either side of the brain that each control the opposite side of the body. It is divided into four lobes where specific functions occur:
- The frontal lobe controls reasoning, emotions, problem-solving, expressive speech, and movement
- The parietal lobe controls the sensations of touch, such as pressure, pain, and temperature, and parts of speech, visual-spatial orientation, and calculation
- The temporal lobe controls memory, special senses such as hearing, and the ability to understand spoken or written words
- The occipital lobe controls vision
The cerebellum. The cerebellum is located at the back part of the brain below the cerebrum. It is responsible for coordination and balance and controls functions on the same side of the body.
The brain stem. This is the portion of the brain that connects to the spinal cord, controls involuntary functions essential for life, such as the beating of the heart and breathing. In addition, messages for all the functions controlled by the cerebrum and cerebellum travel through the brain stem to the connections in the body.
The meninges. These are the membranes that surround and protect the brain and spinal cord. There are three meningeal layers, called the dura mater, arachnoid, and pia mater. The cerebrospinal fluid (CSF) is made near the center of the brain, in the lateral ventricles, and circulates around the brain and spinal cord between the arachnoid and pia layers.
View illustrations of the anatomy of the brain.
Types of brain tumors
Types of brain tumors
There are many types of primary brain tumors, and some cannot be assigned an exact type because taking a sample of the tumor tissue is difficult due to the tumor’s location in the brain. For a complete list of the types of brain tumors and how often they are diagnosed, please refer to the Central Brain Tumor Registry of the United States. This section covers brain tumors diagnosed in adults. (Learn about brain tumors in children.) For practical purposes, this section’s coverage is divided into gliomas and non-glioma types of tumors in adults.
Gliomas
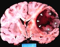
As a group, a glioma is one of the most common types of brain tumor. A glioma is a tumor that grows from a glial cell, which is a supportive cell in the brain. There are two main types of supportive cells: astrocytes and oligodendrocytes. Most gliomas are called either astrocytoma or oligodendroglioma, or a mix of both. A glioma is given a grade, which is a measure of how much the tumor appears like normal brain tissue. A higher grade is usually more likely to grow quickly.
Types of gliomas include:
Astrocytoma. Astrocytoma is the most common type of glioma and begins in cells called astrocytes in the cerebrum or cerebellum. There are four grades of astrocytoma.
- Grade I or pilocytic astrocytoma is a slow-growing tumor that is most often benign and rarely spreads into nearby tissue. About 2% of all brain tumors are grade I astrocytomas.
- Grade II or low-grade diffuse astrocytoma is a slow-growing tumor that can often spread into nearby tissue and can become a higher grade. This type makes up about 3% of all brain tumors.
- Grade III or anaplastic astrocytoma is a cancerous tumor that can quickly grow and spread to nearby tissues. About 2% of all brain tumors are grade III astrocytomas.
- Grade IV or glioblastoma multiforme is a very aggressive form of astrocytoma that makes up about 16% of all brain tumors.
Oligodendroglioma. Oligodendroglioma is a tumor that develops from cells called oligodendrocytes. These cells are responsible for making myelin, a substance that surrounds the nerves and is rich in protein and fatty substances called lipids. Oligodendrogliomas make up about 2% of primary brain tumors and are subclassified as either oligodendrogliomas (considered low grade) or anaplastic oligodendroglioma.
Mixed gliomas. A mixed tumor is made up of more than one of the glial cell types and makes up about 1% of primary brain tumors.
Ependymomas. Ependymomas commonly begin in the ependyma (the passageways in the brain where CSF is made and stored) and make up about 2% of primary brain tumors. Learn about ependymoma in children.
Brain stem glioma. A brain stem glioma begins in the glial cells in the brain stem. Learn about brain stem glioma in children.
Non-glioma tumors
The following section covers non-glioma tumors, which are tumors that arise from cells in the brain that are not glial (supportive) tissue. Types of non-glioma tumors include:
Meningioma. Meningioma is the most common primary brain tumor, making up about 35% of all primary brain tumors. It begins in the meninges and is most often noncancerous. Meningioma can cause serious symptoms if it grows and presses on the brain or spinal cord or grows into the brain tissue. Learn more about meningioma.
Pineal gland and pituitary gland tumors. About 14% of all brain tumors are located in the pineal gland and pituitary gland.
Primary CNS lymphoma. This is a form of lymphoma (cancer that begins in the lymphatic system) that starts in the brain and can spread to the spinal fluid and eyes. It makes up about 2% of all brain tumors.
Medulloblastoma. Medulloblastoma begins in granular cells in the cerebellum. It is most common in children and is usually cancerous, often spreading throughout the CNS. Medulloblastomas make up about 2% of all brain tumors. Similar tumors can start in other parts of the brain, frequently in the pineal gland region, and are called primitive neuroectodermal tumors (PNET). Learn about medulloblastoma in children.
Craniopharyngioma. Craniopharyngioma is a benign tumor that begins near the pituitary gland located near the base of the brain. These tumors are rare, making up less than 1% of all brain tumors. Learn about craniopharyngioma in children.
Acoustic schwannoma. Acoustic schwannoma (also called acoustic neuroma or vestibular schwannoma) is a rare tumor that begins in the vestibular nerve (a nerve in the inner ear that helps control balance) and is typically noncancerous.
Symptoms and Signs
People with a brain tumor may experience the following symptoms or signs. Sometimes, people with a brain tumor do not show any of these symptoms. Or, these symptoms may be caused by a medical condition that is not a brain tumor. If you are concerned about a symptom or sign on this list, please talk with your doctor.
Symptoms of a brain tumor can be general or specific. A general symptom is caused by the pressure of the tumor on the brain or spinal cord. Specific symptoms are caused when a specific part of the brain is not working normally because of the tumor. For many people with a brain tumor, they were diagnosed when they went to the doctor after experiencing a problem, such as a headache or other changes.
General symptoms include:
- Headaches, which may be severe and may worsen with activity or in the early morning
- Seizures. Motor seizures, also called convulsions, are sudden involuntary movements of a person’s muscles. People may experience different types of seizures, including myclonic and tonic-clonic (grand mal). Certain drugs can help prevent or control them. The differences between these types of seizures can be found below:
- Myclonic
- Single or multiple muscle twitches, jerks, spasms
- Tonic-Clonic (Grand Mal)
- Loss of consciousness and body tone, followed by twitching and relaxing muscles (called contractions)
- Loss of control of body functions
- May be a short period of no breathing (30 seconds) and a person may turn a shade of blue
- After this type of seizure a person may be sleepy and experience a headache, confusion, weakness, numbness, and sore muscles.
- Sensory
- Change in sensation, vision, smell, and/or hearing without losing consciousness
- Complex partial
- May cause a loss of awareness or a partial or total loss of consciousness
- May be associated with repetitive, unintentional movements, such as twitching
- Personality or memory changes
- Nausea or vomiting
- Fatigue
Symptoms that may be specific to the location of the tumor include:
- Pressure or headache near the tumor
- Loss of balance and difficulty with fine motor skills (linked with a tumor in the cerebellum)
- Changes in judgment, including loss of initiative, sluggishness, and muscle weakness or paralysis (associated with a tumor in the frontal lobe of the cerebrum)
- Partial or complete loss of vision (caused by a tumor in the occipital lobe or temporal lobe of the cerebrum)
- Changes in speech, hearing, memory, or emotional state, such as aggressiveness and problems understanding or retrieving words (from a tumor in the frontal and temporal lobe of cerebrum)
- Altered perception of touch or pressure, arm or leg weakness on one side of the body, or confusion with left and right sides of the body (linked to a tumor in the frontal or parietal lobe of the cerebrum)
- Inability to look upward (caused by a pineal gland tumor)
- Lactation (secretion of breast milk) and altered menstrual periods in women, and growth in hands and feet in adults (associated with a pituitary tumor)
- Difficulty swallowing, facial weakness or numbness, or double vision (a symptom of a tumor in the brain stem)
- Vision changes, including loss of part of the vision or double vision (from a tumor in the temporal lobe, occipital lobe, or brain stem)
Stages
After a brain tumor has been diagnosed, additional tests will be done to learn more about the tumor. If the tumor is a glial brain tumor, the pathologist will assign a grade using a number from I to IV (one to four). The grade indicates how different the tumor cells are from healthy cells, with a higher grade tumor having cells that are the least like healthy cells. The characteristics of the tumor, as seen under the microscope, help determine how cancerous a tumor is. Generally, the lower the grade, the better the prognosis (chance of recovery or long-term control of the tumor’s growth).
Prognostic factors
There are several other factors that help doctors determine the appropriate brain tumor treatment plan and determine prognosis:
Tumor histology. As outlined in the Diagnosis section, a sample of the tumor is removed for analysis. Tumor histology describes the type of tumor and the grade.
Normal brain tissue usually has differentiated tissue (different types of cells grouped together). Brain tissue that is cancerous is usually made up of cells that look more alike. In general, the more differentiated the brain tissue (and the lower the grade), the better the prognosis.
The pathologist can determine the type of tumor and its grade. To decide on the best treatment for a brain tumor, both the type and grade of the tumor must be determined. In general, a tumor is referred to by grade. The higher the grade, the more quickly the tumor is growing.
Specifically for glial tumors, the grade is determined by its features, as seen under a microscope, according to the following criteria:
- Grade I is a separate group of tumors called juvenile pilocytic astrocytoma (JPA). The term juvenile does not refer to the age of the patient, but the type of cell. This is a noncancerous, slow-growing tumor that can often be cured with surgery. It is different from a low-grade astrocytoma or Grade II glioma, which are likely to recur (come back after treatment).
- A grade II tumor does not have mitosis, vascular proliferation (blood vessels growing to the tumor), or necrosis (dead cells in the tumor), but shows increased cellularity (an abnormally large number of cells).
- A grade III tumor is hypercellular and has mitosis but no vascular proliferation and no necrosis. It is often called anaplastic astrocytoma.
- A grade IV tumor (glioblastoma, also called glioblastoma multiforme or GBM) has vascular proliferation and/or necrosis in addition to the factors common to grade II and III tumors.
Age of patient. In adults, the age of the patient (as well as his or her level of functioning, called functional status, see below) when diagnosed is one of the best ways to predict a patient’s prognosis. In general, a younger adult has a better prognosis.
Extent of tumor residual. Resection is surgery to remove a tumor, and residual refers to how much of the tumor remains in the body after surgery. Four classifications are used:
- Gross total: The entire tumor was removed (microscopic cells may remain).
- Subtotal: Large portions of the tumor were removed.
- Partial: Only part of the tumor was removed.
- Biopsy only: Only a small portion, used for a biopsy, was removed.
A patient’s prognosis is better when all of the tumor can be surgically removed.
Tumor location. A tumor can form in any part of the brain. Some tumor locations cause more damage than others, and some tumors are harder to treat because of their location.
Functional neurologic status. The doctor will test how well a patient is able to function and carry out everyday activities by using a functional assessment scale, such as the Karnofsky Performance Scale (KPS), outlined below. A higher score indicates a better functional status. Typically, someone who is better able to walk and care for themselves has a better prognosis.
100 Normal, no complaints, no evidence of disease
90 Able to carry on normal activity; minor symptoms of disease
80 Normal activity with effort; some symptoms of disease
70 Cares for self; unable to carry on normal activity or active work
60 Requires occasional assistance but is able to care for needs
50 Requires considerable assistance and frequent medical care
40 Disabled: requires special care and assistance
30 Severely disabled; hospitalization is indicated, but death not imminent
20 Very sick, hospitalization necessary; active treatment necessary
10 Moribund, fatal processes progressing rapidly
0 Dead
Metastatic spread. A tumor that starts in the brain or spinal cord, if cancerous, often spreads within the CNS only and rarely spreads to other parts of the body in adults. For that reason, with few exceptions, tests looking at the other organs of the body are typically not needed. A tumor that does spread to other parts of the brain or spinal cord is linked with a poorer prognosis.
Biogenetic markers. Certain molecular markers found in the tumor tissue can provide information on whether treatment will work well. For instance, for oligodendroglioma, the loss of part of chromosome 1 on the p part of the chromosome, and the loss of part of chromosome 19 on the q part of the chromosome (called a 1p and 19q co-deletion) is linked to more successful treatment, particularly with chemotherapy, and can be used to help plan treatment, especially for anaplastic oligodendroglioma. Mutations in the isocitrate dehydrogenase (IDH) gene which is found in about 70% to 80% of low grade gliomas in adults has been linked with a better prognosis. Also, in glioblastoma, whether a gene called methyl guanine methyl transferase (MGMT) is changed can help understand a patient’s prognosis, and it is being tested in clinical trials. Researchers are also looking at genetic tests that may predict a patient’s prognosis (for example, a test called the 9 gene prognostic panel).
Recurrent tumor. A recurrent tumor is one that has come back after treatment. If there is a recurrence, the tumor may need to be graded again using the system above.

1 comments:
Most prostate cancers are adenocarcinomas, cancers that arise in glandular cells of the prostate’s epithelial tissue. Prostate cancers usually progress slowly and produce no symptoms in the initial stages. Eventually, the tumor may enlarge like mine use too, the prostate gland, pressing on the urethra and causing painful or frequent urination and blood in the urine. So I was so uncomfortable with this prostate cancer diseases then I decided to do online search on how to cure cancer because I well have read a lot about herbal medicine, I came across a lot of testimony how Dr Itua cure HIV/herpes then Cancer was listed below the comment.with courage I contacted Dr Itua and he sent me his herbal medicine through Courier service then I was asked to pick it up at my post office which i quickly did. I contacted Dr Itua that i have received my herbal medicine so he instructs me on how to drink it for three weeks and that is how Dr Itua Herbal Medicine cure my prostate Cancer, The treatment takes three weeks and I was cured completely. Dr Itua is a god sent and I thank him every day of my life. Contact him now On:Email:drituaherbalcenter@gmail.com/ Whatsapp:+2348149277967.
He listed to that he can as well cure the following diseases below.... Cerebral Amides. Lung Cancer, Alzheimer's disease,Autism,measles, tetanus, whooping cough, tuberculosis, polio and diphtheria Adrenocortical carcinoma. Alma, Uterine Cancer, Breast Cancer, Allergic diseases. Kidney cancer, Love Spell, Glaucoma., Cataracts,Macular degeneration,Cardiovascular disease,Lung disease.Enlarged prostate,Osteoporosis.Alzheimer's disease,Brain Tumor,
Dementia.Colo rectal cancer, Lottery Spell, Bladder Cancer, Skin Cancer,Ovarian Cancer,Pancreatic Cancer, HIV /Aids, Herpes, Non-Hodgkin lymphoma, Inflammatory bowel disease, Copd, Diabetes, Hepatitis
Post a Comment